雪域高原上的生死博弈
北京大学人民医院组团式援藏医疗队成功救治危重狼疮患者
27岁的拉姆(化名)已经在西藏自治区人民医院住院一个月了,她归心似箭,太久没有见到两个孩子了。
不会说汉语的拉姆一直在表示感谢:“北京来的‘安吉拉’(藏语“医生”),神永远保佑你们!”
听不懂藏语的北京大学人民医院组团式援藏医疗队专家,只能看到她脸上露出的久违的笑容,像高原格桑花一样淳朴。
谁又能想到仅仅20多天前的凶险。重症感染、急性心功能衰竭,低血压休克,呼吸衰竭、重度贫血……每一个诊断,都足以让她再也回不到家乡,再也见不到她的两个宝贝。
初见
拉姆到达西藏自治区人民医院急诊时,已经持续高热3周,20天前着凉后持续高热,咳嗽、咯痰,外院曾考虑“肺部感染”,但按照常规抗感染效果不佳,病情进行性加重,并且出现急性心功能衰竭。拉姆端坐呼吸,血压几乎测不出,听诊器中“咚咚咚”的奔马律,预示着这颗年轻的心脏已经不负重荷。
“安吉拉,救救她!”淳朴的家属眼神中流露出恐惧。
险境
当完善检查,专家们更是倒吸一口冷气。
血红蛋白仅为正常参考值的四分之一,血小板为4X10^9/L(正常参考值为100-300X10^9/L),随时都有脏器出血的风险。血气分析提示I型呼吸衰竭,胸片存在双肺弥漫性渗出,肺部CT可见双肺部多发高密度影。
住院后给予对症治疗,生命体征趋于平稳,血压始终需要升压药物才能维持,血液系统损伤进一步加重,血红蛋白继续下降。
拉姆的病情进展之快,脏器损伤之重,然让北京大学人民医院援藏医生姚海红、莫晓冬,和所在西藏自治区人民医院风湿血液科的医生们忧心忡忡。
疑问
望着年轻的生命在死亡线上挣扎,每一位医生的心中都焦灼万分,大脑飞速运转:
发热、多功能脏器损伤的原因是什么?
发热、咳嗽、咳痰、外周血白细胞显著升高、肺部提示多发阴影,是否为重症肺炎?
如果是重症肺炎为什么之前外院的抗感染治疗无效?
如何明确血红蛋白的进行性下降的原因?
年轻女性+高热+多系统受累,系统性红斑狼疮可能性大。可患者没有任何狼疮的典型临床特征,也没有免疫病的家族史,免疫指标为擦边球,其他特异性抗体以及狼疮常出现指标均正常,红斑狼疮的诊断能成立吗?
诊断证据不足,该如何治疗?
......
掣肘
北京大学人民医院援藏专家和西藏自治区人民医院风湿血液科医生们一次又一次的讨论分析病情。认为患者高度怀疑红斑狼疮,肺部病变可疑肺泡出血,该病症预后差,死亡率极高。
治疗常规首选大剂量糖皮质激素冲击治疗以及血浆置换。然而新的问题又来了:
西藏自治区血制品十分匮乏,短期没有充足的血浆进行血浆置换;
反复发作的心衰让大剂量激素冲击慎之又慎;
虽然疑似肺泡出血,但患者并未出现典型咯血症状,支气管镜可以明确诊断,但患者极重度贫血、血小板减少、心功能差,进行支气管镜检查风险极高。但若不确诊,一旦判断失误,大剂量激素冲击可能导致潜在感染加重,且加重心功能衰竭,到时结局更加惨烈……
理论很美好,现实很残忍,在生命中,疾病似乎总与医学理论相悖而驰。
博弈
与死神的博弈仍在持续。
风湿血液科紧急联系了北京大学人民医院组团式援藏专家呼吸内科暴婧大夫会诊。专家们再次讨论决定抗感染同时继续给予常规剂量糖皮质激素、丙种球蛋白输注,抗心衰,组织家属互助献血,为支气管镜检查创造条件。
2天后,患者升压药物逐渐减量,血红蛋白和血小板缓慢上升。病情不容姑息等待,暴婧医生当机立断,决定再次输血后立即进行支气管镜检查肺泡灌洗。
在暴婧的指导辅助下,边巴琼达副主任医师顺利完成了西藏自治区人民医院呼吸科首例肺泡灌洗。
当血性灌洗液吸出来的那一刻,证实了之前弥漫性肺泡出血的诊断猜想,狼疮合并肺泡出血的诊断得到有力支撑。
眼前的重重雾霭似乎逐渐拨开,治疗方案在每一位医生的脑海里更加明晰。
突变
而就在气管镜检查完成的时候,患者病情突然再度加剧,咯粉红色泡沫样痰,心率急骤升高,血氧饱和度下降。糟糕,出现急性左心衰!
通过高流量吸氧、利尿、强心治疗,患者心衰症状逐渐改善,而下一步治疗又陷入两难。
积极治疗,血浆奇缺无法进行血浆置换;加大激素剂量,很可能加重反复发作的心衰;姑息治疗,就会面临着血红蛋白、血小板不升反降,肺泡出血进一步加重呼吸衰竭的风险……
权衡
临床治疗的每一次决策都是在不停地权衡、审慎的决定中形成,保全患者生命是每一位医生的最大愿望。
在仔细权衡并征得家属同意后,北京大学人民医院组团式援藏专家姚海红医生决定在积极抗心衰监测出入量基础上,逐渐加大糖皮质激素剂量。
第1天,甲强龙500mg,心功能稳定;
第2天,剂量翻倍,心功能稳定;
第3天,冲剂持续,依然稳定!当激素冲击结束时,血小板已经恢复正常,血色素逐渐上升,升压药物逐渐减量至停用。
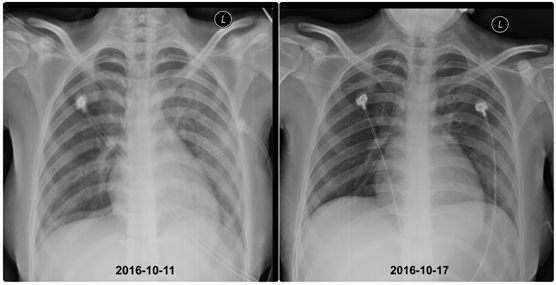
第4天,复查胸片,双肺部渗出影明显吸收;
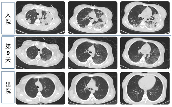
第9天,肺部CT提示双肺高密度影显著吸收,血红蛋白逐渐上升至70g/L,血氧分压正常。
医生们终于松了一口气,悬了十几天的心,悄然放下……
绽放
经过30天的精心治疗后,拉姆的血红蛋白已经涨到100g/L,最后一次复查CT提示双肺病变完全吸收,笑容又重新回到这位年轻妈妈的脸上。
似乎只有诊断证明上“系统性红斑狼疮,血液系统受累,弥漫性肺泡出血,合并心衰及呼吸衰竭”的诊断,记述着这一惊心动魄的死亡博弈。
后记
雪域高原上的两个藏族孩子迎来了妈妈的回家,与此同时的北京,年幼的孩子正在思念着妈妈。看到北京大学人民医院组团式援藏医疗队专家内分泌科任倩医生在朋友圈中记录着孩子的童真稚语:
——“是不是我以前吃饭不听话,所以妈妈去西藏不要我了?”
——“妈妈你过年回家,会不会我睡一觉醒过来,你就走了?”
舍小家却为大家,北京大学人民医院组团式医疗队专家们,将爱和医术带到雪域高原,为了更多西藏孩子脸上的笑容!
(供稿:援藏医疗队 姚海红 工号:04102 责编:李杨乐、汪铁铮)














