脑血管病与神经介入专项研修班招生简章
一、科室简介
北京大学人民医院前身为“北京中央医院”,创建于1918年,是中国第一家由国人自行筹资建设和管理的综合性西医医院。其中神经内科在科室历任主任及现任科主任刘尊敬教授的带领下,已发展成为集临床、教学、科研为一体的综合性学科。北京大学人民医院神经内科是国家临床重点专科,是国家卫健委神经内科进修与培训基地。
神经内科设有西直门、通州两个病区和急诊救治区,设置脑血管病、神经介入、头痛、认知障碍、帕金森病、癫痫、神经肌肉病、神经感染与免疫、睡眠障碍等多个亚专科方向。开设脑电图、肌电图与诱发电位、彩色经颅多普勒、神经病理及认知量表测查、颅内压测定、内皮功能检测、步态分析等完整的辅助检查项目,并开展经颅磁刺激治疗,同时开展肌张力障碍和偏头痛肉毒素注射及眶上神经电刺激等治疗。
神经内科作为北京大学硕士、博士培养点及博士后工作站,教学实力雄厚。科室多名校级、院级优秀教师先后荣获北京大学医学部教学优秀奖、优秀访问学者指导老师、优秀进修学员指导老师、青年教师教学基本功比赛二等奖等荣誉称号,牵头负责或作为编委参与编写多部国家级规划教材。科室承担多项科技部、国家自然科学基金及北京市自然科学基金等科研课题,牵头开展了较多的多中心临床研究。
二、专项优势
脑血管病的精准及系统化诊治体系:科室拥有成熟全面的急诊卒中绿色通道、静脉溶栓、血管再通治疗、卒中规范化诊疗及早期康复训练救治体系。本专项研修项目以急性脑血管病的个体化抗栓及系统化全流程诊疗为学习特色,致力于培养贯通"精准评估-急救干预-系统管理-全程康复"的卒中全流程治疗管理专科人才。
神经介入诊治优势:神经介入专业组开展缺血性及出血性神经介入手术治疗处于国内领先水平。在颅内外狭窄动脉支架成形术、慢性闭塞性脑血管病的介入再通治疗、急诊动脉取栓治疗、颅内动脉瘤的介入治疗、静脉窦狭窄及急性血栓介入治疗方面具有丰富的经验。较早的将高分辨核磁技术应用于脑血管病的诊治中,在介入手术患者的术前评定及脑卒中病因分型等方面均发挥了重要的作用。在脑卒中病因筛查、个体化抗栓治疗、青年卒中诊治及急危重症脑卒中的急救和处置方面精准施治,效果显著。
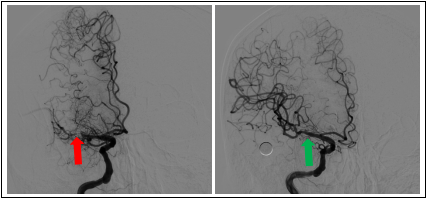
基底动脉闭塞患者接受机械取栓治疗前后对比图
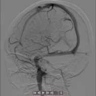
右侧大脑中动脉慢性闭塞再通前后对比图
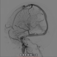
右侧大脑中动脉球囊扩张治疗前后对比图
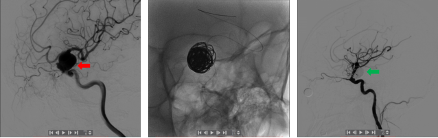
血流导向密网支架治疗动脉瘤前后对比图
新型自膨式动脉瘤瘤内栓塞系统—WEB装置治疗基底动脉尖动脉瘤前后对比图

颅内静脉窦狭窄支架治疗前后对比图、


三、培训计划
1. 理论授课:每周定期组织科室小讲课,涵盖脑血管病解剖基础、神经影像学、缺血性卒中个体化抗栓治疗、血管内介入治疗安全管理等内容;每周三进行疑难危重病例讨论。
2. 临床技能训练:全程参与急性脑血管病诊疗各个环节,包括急性缺血性卒中溶栓评估、脑血管病规范化管理等临床工作;参与手术预案讨论,有大量的手术观摩、跟台操作实践机会,作为一助全程参与脑血管造影及介入治疗,经验丰富后,在上级医师监督下完成各项脑血管造影、支架及急诊取栓手术。
3. 线上和线下学术活动:邀请学员免费参加神经内科举办的脑血管病诊治实战能力提升培训班、脑卒中专科人才能力提升培训班及各项学术/研讨会议。
4. 科研训练 :参与临床科研项目培训。
5. 离院后学习:进修结束后,可通过建立医联体合作等形式,针对疑难病例,随时进行交流分享、答疑讨论。

导师介绍:
刘尊敬,主任医师,教授,博士生导师,博士后合作导师,现任北京大学人民医院神经内科主任。主要从事脑血管病个体化防治及神经介入治疗。担任中华医学会神经病学专业委员会青年委员,中国医师协会神经病学专业委员会委员,北京市住院医师规范化培训专业委员会神经内科副主委,北京神经内科学会脑血管病委员会主任委员等学术职务。先后承担多项科技部重大专项及国家自然科学基金课题,发表SCl论文110余篇,多次荣获院校级优秀教师称号。
四、招生信息
1. 招生方向:
(1)脑血管病精准化诊治和管理
(2)神经介入
2. 招收计划:
招生对象:具有执业医师执照;神经内科、神经介入专科医师优先
进修周期:6个月、12个月
批次:每年3月、6月、9月、12月各一批
联系人:丛老师,13811019167
五、学员待遇
6个月及以上进修学员每月发放300元餐饮补贴。
结业发放北京大学进修结业证和北京大学人民医院专项研修班结业证。
六、培训费用
6个月 6000元;12个月10000元。
扫描二维码进入报名通道















